
| Dental Clinic Prague dental Elite Dental Prague s.r.o. Dental treatment bookings : Tel. +420 222 510 888
click above image
|
x |
Dental Treatment in the Czech Republic Are you seeking comprehensive dental care, including maximum use of the latest technology and most recent therapies? Have you heard anything about painless dentistry yet?
We are number one in the Czech Republic for dental Our doctors are professionals with international experience gained in e.g. Germany, Sweden, France, Israel, etc. We can cure periodontitis by so called bone augmentation. We use ozone therapy for painless and effective treatment in the oral cavity, including laser diagnostics of dental caries. We provide lifetime warranty on all American implants given at our clinic. To ensure the maximum sterility of treatment, patient safety and the effectiveness of dental treatment, we use a KEY laser, which has broad spectrum of usage. All doctors have the required certificates for the dental services we offer. We maximize patient comfort by taking care of 2-3 patients a day at most. Thanks to the very latest procedures and technologies, we shorten the necessary recovery period from days to hours - so you can enjoy the beauty of Prague after your treatment. Attractive prices for dental care save you money which you can then spend any way you want. Top dental doctors work in our clinic with experience not only from Czech clinics, but also from foreign clinics and universities. You will find all the stomatological service in one place. Mainly conserving stomatology, child stomatology, dental hygiene, endodontics, parodontology, implantology, surgery and cosmetic stomatology ( bleaching, facets etc…)
We would also like to inform you that we are fully insured for the case of unexpected emergency medical treatment. Such medical attention would then be fully reimbursed from our insurance. Transport for clients Absolute privacy To book your dental treatment with us the easiest thing you can do is to fill in a form (found on our web site) and you will receive an answer in no time detailing the steps you need to take so you can receive our professional dental care, including comfort service for a fantastic price, as soon as possible. We look forward to hearing from you.
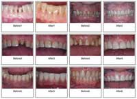
Here are some descriptions of dental treatments we offer: Put very simply, a dental implant is a small titanium screw which serves as a replacement for the root portion of a missing natural tooth. They are available in various sizes (both width and height) for different clinical situations. Dental implants are an excellent option for replacing one or more missing teeth. You can view this as permanently replacing your natural roots with titanium roots. Implants can serve well for both purposes - as a single tooth (regular implants) and as support for dentures (mini-implants). Benefits of implants: Dental implants are an alternative to conventional bridgework. They eliminate the need to modify healthy teeth and do not place additional loads on the teeth supporting the bridge. Implant-supported teeth are more comfortable than conventional dentures because there is no slipping or movement; because the implants are fixed, they feel and function like natural teeth. This eliminates some of the key worries of denture wearers and improves self-confidence. Assessment and Planning dental implants: All the possible alternatives are considered and the feasibility of the implant treatment is assessed at the initial consultation. Should you wish to proceed with the implant treatment, a full and detailed assessment is made, involving the taking of impressions, X-rays and, in some cases, CT scans.
This is generally a simple procedure which is performed under sterile conditions in a dental surgery using local anaesthesia. If required, bone saved from the drilling procedure and some artificial bone may be used to augment the contour of the ridge and gum around the implant. Healing process: The sutures are typically removed seven to fourteen days after surgery.
Dental crowns and bridges Put simply, a dental crown is a tooth cap placed over the tooth to restore its shape, size and strength. A bridge is a combination of crowns. A dental crown may be recommended to: protect a weak tooth (for instance, from decay) against breaking, especially after an RCT restore an already broken tooth or a tooth which has been severely worn down cover and support a tooth with a large filling when there is not much of the tooth left hold a dental bridge in place cover misshaped or severely discoloured teeth be placed over a dental implant Dental bridges are designed to replace missing teeth by “bridging” the gap between two remaining teeth. This involves the creation of a pontic or false teeth with a dental crown on either side. The crowns are fitted over the remaining teeth to hold the false tooth in place. A fixed bridge helps to: To design a bridge, the dentist must reshape the teeth to make room for the crowns. Next, the dentist makes a mould of the teeth. This mould is then sent off to a laboratory, where the actual crowns and bridges are made. Metal-ceramic crowns: Metal-porcelain - These combine the strength of the metal along with the aesthetics of the porcelain. They are probably the most used crowns nowadays and they are really tough. All-ceramic Crowns and Bridges No PFM ‘grey lines’ With metal ceramic, soft tissue around the tooth can recede over time, revealing the metal underneath as ugly grey lines. This simply cannot happen with Procera® because they are metal-free. Bio-compatible Perfect fit Perfect match
|
Czech Dentists directories and regional listings and direct contact details of Czech Dentists:
Pardubice Dentists Plzen Dentists Usti Nad Labem Dentists Zlin Dentists Directory of Czech Dentists
Czech dental costs - overview Dental treatment types Czech dental treatment price list About Czech DentistsInformation on Czech dental costs and prices, treatments explained and patient's testimonials:
Don't speak Czech and need assistance in your dental treatment organization ? :
Dental treatment organization service for the Czech Republic